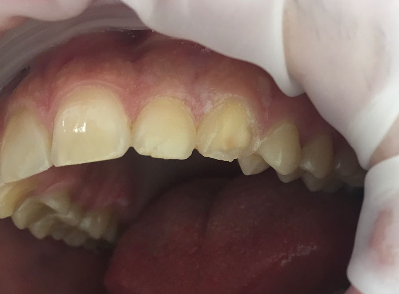
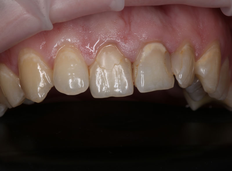
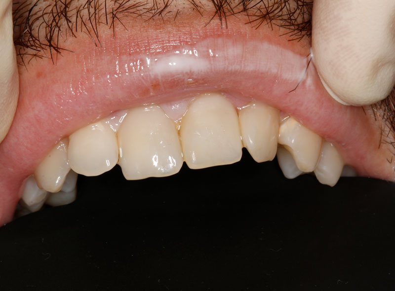
За время своей работы наши специалисты провели множество процедур, которые вернули пациентам красоту и уверенность в себе. Косметическая реставрация зубов, как правило, предполагает несколько этапов лечения, сколько – сказать точно сможет только лечащий врач. Наш центр эстетической стоматологии предлагает всем своим клиентам индивидуальный подход и гарантию лечения без боли на каждом этапе.
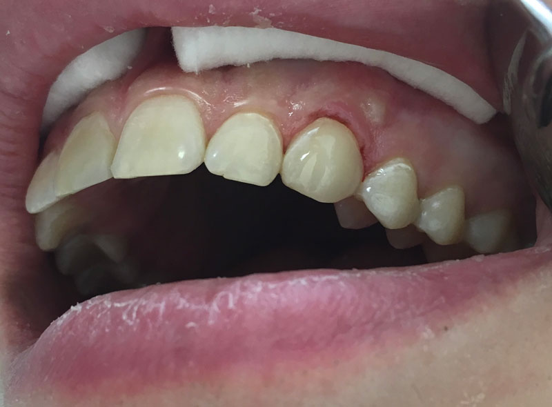
У нас вы сможете воспользоваться всем комплексом процедур эстетической реставрации зубов. Сразу после первичной консультации у специалиста, на которой вы узнаете, какие методы можно применить для решения проблемы, какое время займут все процедуры, вы сможете определиться, стоит ли вам заниматься дальнейшим лечением.












